Lewy Body Dementia Mri - Lewy body dementia symptoms include recent loss of memory, difficulty concentrating or paying attention, misperceptions of space and time.

Lewy Body Dementia Mri - Lewy body dementia symptoms include recent loss of memory, difficulty concentrating or paying attention, misperceptions of space and time.. Affected patients generally present with dementia preceding motor signs, particularly with visual hallucinations and episodes of reduced responsiveness. Lewy body dementia, also known as dementia with lewy bodies, is the second most common type of progressive dementia after alzheimer's disease dementia. You also might see things that aren't there, called hallucinations. The deposits are called lewy bodies and are named after friedrich h. How is lewy body dementia (ldb) diagnosed?

Protein deposits, called lewy bodies, develop in nerve cells in the brain regions involved in thinking, memory and movement (motor control). Within a year, you start to have thinking and memory problems that are similar to alzheimer's disease, along with changes in behavior. The deposits are called lewy bodies and are named after friedrich h. Lewy body dementia symptoms include recent loss of memory, difficulty concentrating or paying attention, misperceptions of space and time. Memory loss is not always an early symptom.

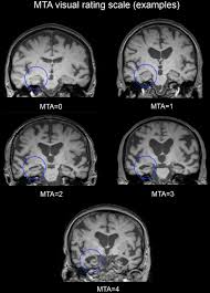
Neuroimaging In Dementia An Update For The General Clinician Progress In Neurology And Psychiatryprogress In Neurology And Psychiatry
Neuroimaging In Dementia An Update For The General Clinician Progress In Neurology And Psychiatryprogress In Neurology And Psychiatry from wileymicrositebuilder.com
Lewy body dementia is typically diagnosed after other conditions are ruled out and the person's symptoms best fit with the diagnostic criteria for lbd. Related online courses on physioplus. Lewy body dementia stage 2 possibilities. Ct and mri show no characteristic changes in lewy body dementia but can initially help rule out other causes of dementia. Many people also experience changes in alertness including daytime sleepiness, confusion or staring spells. Read about the symptoms and what can help. Dementia with lewy bodies appears to be the second most common form of dementia, accounting for about one in five cases. Lewy body dementia, also known as dementia with lewy bodies, is the second most common type of progressive dementia after alzheimer's disease dementia.

Also, there is a helpline for support provided by dementia.

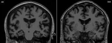
Lewy, the scientist who discovered them. Loss of substantia nigra hyperintensity on 7 tesla mri of parkinson's disease, multiple system atrophy, and progressive supranuclear palsy. Besides nuclear imaging methods, the clinical utility of structural neuroimaging with magnetic resonance imaging (mri) for differential comparison between dementia with lewy bodies and alzheimer's disease. You also might see things that aren't there, called hallucinations. Lbd is a term that covers two conditions that have similar. Protein deposits, called lewy bodies, develop in nerve cells in the brain regions involved in thinking, memory and movement (motor control). Certain nuclear scans of the brain, including positron emission. How is lewy body dementia (ldb) diagnosed? Dr michael firbank discusses his study using functional mri in lewy body dementia and alzheimer's disease at the newcastle university institute. Focal atrophy in dementia with lewy bodies on mri: Memory loss is not always an early symptom. Lewy body dementia (lbd) is a type of progressive dementia. Many people also experience changes in alertness including daytime sleepiness, confusion or staring spells.

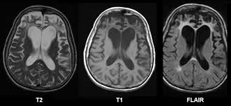
Lewy, the scientist who discovered them. These deposits, called lewy bodies, affect chemicals in the brain whose changes, in turn, can lead to problems with thinking, movement, behavior, and mood. Many people also experience changes in alertness including daytime sleepiness, confusion or staring spells. Mri can show loss of brain cells (atrophy), but this occurs with other types of dementia too. Lewy body dementia stage 2 possibilities.

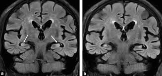
Differences In Mr Features Of The Substantia Innominata Between Dementia With Lewy Bodies And Alzheimer S Disease Semantic Scholar
Differences In Mr Features Of The Substantia Innominata Between Dementia With Lewy Bodies And Alzheimer S Disease Semantic Scholar from d3i71xaburhd42.cloudfront.net
Common symptoms of lbd include changes in thinking ability, significant movement problems, sleep disorders, dizziness, fainting, urinary incontinence, and constipation. This may include a magnetic resonance imaging (mri) or computed tomography (ct) scan of the brain. Further research is needed to clarify the relationships among them. Dementia with lewy bodies, lbd, lewy body disease, parkinson's disease dementia. In lbd, protein deposits build up in the brain. Related online courses on physioplus. The presence of both lewy bodies and amyloidplaques with deficiencies in both acetylcholine and dopamine neurotransmitters suggests that dementia with lewy bodies. Read about the symptoms and what can help.

Many people also experience changes in alertness including daytime sleepiness, confusion or staring spells.

By this point, most caregivers are worried that something is seriously wrong and seek medical attention. These deposits, called lewy bodies, affect chemicals in the brain whose changes, in turn, can lead to problems with thinking, movement, behavior, and mood. Many people also experience changes in alertness including daytime sleepiness, confusion or staring spells. In lbd, protein deposits build up in the brain. Lewy body dementia (lbd) is a type of progressive dementia that leads to a decline in thinking, reasoning and independent function because. Dementia with lewy bodies or lewy body dementia is dementia caused by the presence of lewy bodies in the brain. Lewy body dementia (lbd) is often regarded as the second most common dementia in older individuals after alzheimer disease,1,2 possibly sharing the. Memory loss is not always an early symptom. How is lewy body dementia (ldb) diagnosed? Lewy body dementia symptoms include recent loss of memory, difficulty concentrating or paying attention, misperceptions of space and time. The deposits are called lewy bodies and are named after friedrich h. Mri can show loss of brain cells (atrophy), but this occurs with other types of dementia too. Protein deposits, called lewy bodies, develop in nerve cells in the brain regions involved in thinking, memory and movement (motor control).

The lewy body society (see end of leaflet) is a registered uk charity which has a website full of information. Dementia with lewy bodies or lewy body dementia is dementia caused by the presence of lewy bodies in the brain. Loss of substantia nigra hyperintensity on 7 tesla mri of parkinson's disease, multiple system atrophy, and progressive supranuclear palsy. Also, there is a helpline for support provided by dementia. It is reported as the second most common form of dementia following alzheimer diseas.

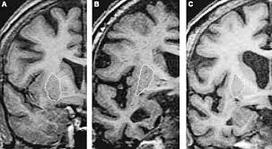
The Radiology Assistant Dementia Role Of Mri
The Radiology Assistant Dementia Role Of Mri from rad.desk.nl
Lewy body dementia is common, but simultaneously almost unheard of. Protein deposits, called lewy bodies, develop in nerve cells in the brain regions involved in thinking, memory and movement (motor control). Dementia with lewy bodies often starts when you have a hard time moving your body. Dementia with lewy bodies (dlb), also known as lewy body disease, is a neurodegenerative disease (a synucleinopathy to be specific) related to parkinson disease. Dementia with lewy bodies (dlb), also known as lewy body dementia, is one of the most common types of dementia. Dementia with lewy bodies appears to be the second most common form of dementia, accounting for about one in five cases. Lewy body dementia is the second most common cause of dementia after alzheimer's disease. Memory loss is not always an early symptom.

Protein deposits, called lewy bodies, develop in nerve cells in the brain regions involved in thinking, memory and movement (motor control).

Protein deposits, called lewy bodies, develop in nerve cells in the brain regions involved in thinking, memory and movement (motor control). It's rare in people under 65. Also, there is a helpline for support provided by dementia. Dementia with lewy bodies (dlb), also known as lewy body disease, is a neurodegenerative disease (a synucleinopathy to be specific) related to parkinson disease. Dementia with lewy bodies appears to be the second most common form of dementia, accounting for about one in five cases. Further research is needed to clarify the relationships among them. Some scans (ct and mri scans) look at how the different parts of the brain fit together, rather than how the parts work together. The deposits are called lewy bodies and are named after friedrich h. Dementia is the name for problems with mental abilities caused by gradual changes and damage in the brain. Lewy body dementia, also known as dementia with lewy bodies, is the second most common type of progressive dementia after alzheimer's disease dementia. Certain nuclear scans of the brain, including positron emission. This may include a magnetic resonance imaging (mri) or computed tomography (ct) scan of the brain. After alzheimer disease (ad), dementia with lewy bodies (dlb) is one of the most common types of degenerative dementia.

Lewy body dementia (lbd) is often regarded as the second most common dementia in older individuals after alzheimer disease,1,2 possibly sharing the lewy body dementia. Dementia with lewy bodies (dlb) is a type of dementia accompanied by changes in sleep, behavior, cognition, movement, and autonomic bodily functions.

Post a Comment

Previous Post Next Post